How Can We Whiten Teeth?
Here at Symonds Yat Dental Practice, we provide home whitening kits that fit your mouth perfectly, allowing you to decide how often and to what extent you whiten your teeth. On your initial appointment we will take some impressions of your teeth and send them off to the lab for you unique whitening trays to be made. Once these are returned, we would get you back for the fitting and instruction of your whitening.
Our Boutique whitening kits usually require one to two weeks’ worth of applications depending on the desired result. Each application can be worn for 2-4 hours throughout the day or night.
Varying degrees of sensitivity may result after whitening. Whilst this may last for several days or, a couple of weeks, it is temporary, reducing after cessation of whitening treatment. If significant sensitivity should occur, refrain from whitening and extremes of temperature for three to four days.
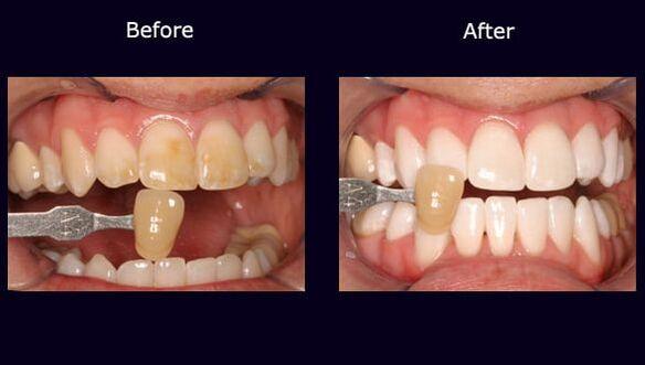
Here is an example of before and after the use of our whitening. To see more whitening results, please look at our Smile Gallery.
Patient Information
We are dedicated to providing the best possible dental care for all our patients at Symonds Yat Dental Practice, and our reception team our always happy to help with any enquiries you may have. However, if you are unable to get through to us due to a high demand of calls or it is out of our opening hours, here is some information that may be able to help you in the mean time.

